Theories and Techniques of Oral Implantology (vol.2) (published 1970)   Dr. Leonard I. Linkow

Previous Page Next Page

This is an archival HTML version of this book originally hosted here in 2006. The HTML may not display well on modern browsers. Please view the modern PDF Version for a better viewing experience.

 

Atypical implant situations 641

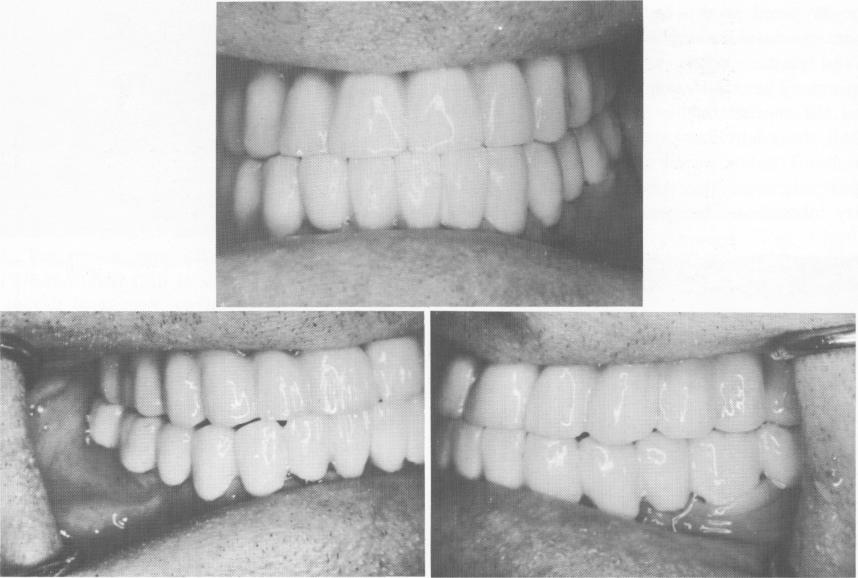
Fig. 15-36. The completed case, showing the teeth to be in a Class I relationship.

Fig. 15-37. The final Panorex.

crest. The only available bone was distal to the maxillary sinus in the maxillary tuberosity.

After careful evaluation of the radiographs, study casts, and the patient's mouth, the anterior quad-rant of teeth were prepared to drastically reduce the overjet. This involved removing a great deal of the labial surfaces of these teeth, exposing the nerves and removing them, and filling the canals (Fig. 15-40).

The remaining teeth in the maxillary arch and

the four lower posterior teeth on each side of the mandible were prepared. The lower anterior six teeth—being in good condition, free from caries, and with excellent bone support—were left alone.

Copper tube modeling compound impressions were taken of all the prepared teeth, as well as plaster indices and a wax interocclusal record of centric relation. The vertical dimension was not to be in-creased. The castings were placed on the master stone models (Fig. 15-41) .

1 Case shows  teeth in Class I relationship after blade implantation
2 Final panorex of endosseous upper and lower blade implants in position



Previous Page Page 641 Next Page
Copyright warning: This information is presented here for free for anyone to study online. We own exclusive internet copyrights on all content presented on this website. We use sophisticated technology to identify and legally close down websites that reproduce copyrighted content without permission - so please don’t do it.