Theories and Techniques of Oral Implantology (vol.2) (published 1970)   Dr. Leonard I. Linkow

Previous Page Next Page

This is an archival HTML version of this book originally hosted here in 2006. The HTML may not display well on modern browsers. Please view the modern PDF Version for a better viewing experience.

 

Endodontic implants 601

Fig. 13-49. A 5 1/2-year postoperative Panorex showing completed case. The left bicuspid had been removed and replaced with a unilateral subperiosteal implant.

Fig. 13-50. A left cuspid with a completely horizontal fracture of its root midway between its apex and cementoenamel junction was fitted for a gold post prior to further supporting it with an endodontic root stabilizer.

 

whose root was completely fractured horizontally half-way down its length. The cuspid was first prepared (Fig. 13-50) and then a vent-plant was placed behind it (Fig. 13-51) . After impressions were made, the apical half of the cuspid root was removed through the buccal plate of bone and the endodontic pin implantation performed (Fig. 13-52). A gold post was cemented over the cuspid root and a veneer casting placed over it. Then a gold coping was placed over the vent-plant post. An alginate impression of the opposing jaw, a wax interocclusal record of centric relation, and a plaster index picking up the cuspid casting and implant coping were made for completing the bridge. The bridge was tried and cemented (Fig. 13-53) and a triplant added posteriorly for additional support (Fig. 13-54) . The superstructure was then cemented (Fig. 13-55) .

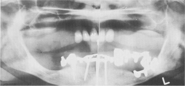
Radiographs of the case show how each type of implant uniquely serves its particular purpose (Fig. 13-56) .

Fig. 13-51. A, A vent-plant was tapped in the edentulous second bicuspid region behind the cuspid post. B, The shaft of the vent-plant extended 4 mm. out of the fibromucosal tissue. C, An interchangeable prefabricated gold coping was placed over the implant post and its occlusal clearance carefully checked.

A

B

C

1 Left bicuspid removed & replaced with unilateral subperiosteal implant
2 Cuspid with complete horizontal fracture of root fitted with gold post
3 Ventplant tapped in edentulous bicuspid region behind cuspid post



Previous Page Page 601 Next Page
Copyright warning: This information is presented here for free for anyone to study online. We own exclusive internet copyrights on all content presented on this website. We use sophisticated technology to identify and legally close down websites that reproduce copyrighted content without permission - so please don’t do it.