Theories and Techniques of Oral Implantology (vol.2) (published 1970)   Dr. Leonard I. Linkow

Previous Page Next Page

This is an archival HTML version of this book originally hosted here in 2006. The HTML may not display well on modern browsers. Please view the modern PDF Version for a better viewing experience.

 

Endodontic implants 599

ridge, which was really the remaining mylohyoid ridge.

The two bicuspid teeth were prepared to their cementoenamel junctions, and endodontic stabilizers were used as additional support (Fig. 13-40). A

Fig. 13-39. Anteriorly are endodontic stabilizers. Posteriorly are bilaterally placed subperiosteal implants that were used for the endentulous areas because there was not enough alveolar bone for endosseous screws or blades.

uniquely designed scalloped template with a specially chosen spring-type stress-breaker attachment was included posteriorly on either side. Anteriorly, an inverted U-shaped bar of gold, with its vertical portion fused to the base of the template, was included (Fig. 13-41). The template was cemented over the gold post copings, which already had been cemented over the two remaining bicuspid teeth (Fig. 13-42).

Three pin type implants were drilled through predetermined holes in the anterior part of the

Fig. 13-41. A, A uniquely designed scalloped template with Gerber spring type attachments was cast. Below the template is seen the female attachment bar, which is processed to the prosthesis. B, An occlusal view of the template with both female attachments in place over the male attachment.

A

B

Fig. 13-40. Two remaining strategically situated roots were further supported with endodontic stabilizers.

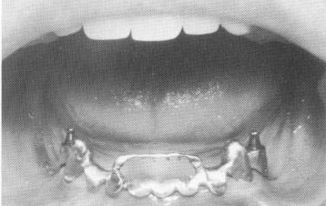
Fig. 13-42. The template was cemented into position, sup-ported only by two gold post copings that were cemented over the two bicuspid roots after the stabilizers were set.

1 Endodontic stabilizers in the anterior part of mandible
2 Bilaterally placed subperiosteal implants in posterior mandible
3 Strategically situated roots supported with endodontic stabilizers
4 Mandibular scalloped template with Gerber spring type attachments
5 Scalloped template supported by gold post copings on premolar roots



Previous Page Page 599 Next Page
Copyright warning: This information is presented here for free for anyone to study online. We own exclusive internet copyrights on all content presented on this website. We use sophisticated technology to identify and legally close down websites that reproduce copyrighted content without permission - so please don’t do it.