Theories and Techniques of Oral Implantology (vol.2) (published 1970)   Dr. Leonard I. Linkow

Previous Page Next Page

This is an archival HTML version of this book originally hosted here in 2006. The HTML may not display well on modern browsers. Please view the modern PDF Version for a better viewing experience.

 

526 Theories and techniques of oral implantology

11-205) . Their posts may be parallel with the broad face of the wedge-shaped body or be manufactured to follow the harmony of both arches. The operator thus has a wide range of designs from which to choose (Figs. 11-206 to 11-208).

A major problem for many operators, particularly beginners in implantology, is correctly evaluating the implant situation and choosing the most suitable design for that particular situation. Let us

set up a sample problem   a full arch fixed prosthesis for an upper jaw with only two cuspid teeth remaining. Let us also assume, for purposes of simplification, that the morphology of each maxilla is the same; that is, that the right maxillary arch is a mirror image of the left.

The location and size of the maxillary sinus, as revealed radiographically, is the prime determinant in initially selecting an implant (or implants). Of

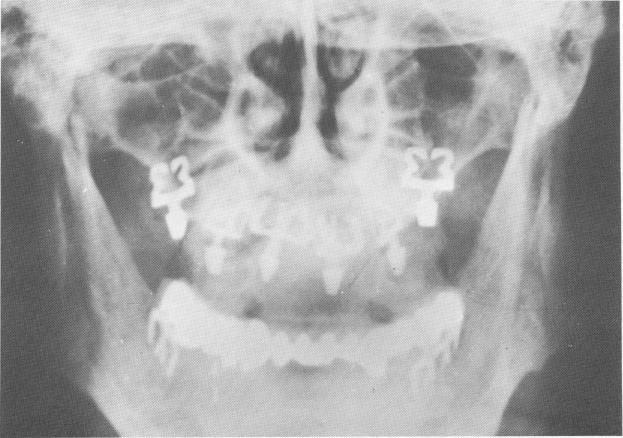
Fig. 11-204. This Panorex shows how three different blade designs suit their locations. The left maxillary tuberosity contains a curved blade (arrow) to obtain maximum metal-to-bone contact in a minimum amount of bone.

Fig. 11-205. Blades may be set at any angle in the arch to take advantage of the bony landscape. The posterior blades in the maxillae were set buccopalatally in the tuberosities. The remaining blades in both arches were inserted mesiodistally, with their broad faces lying in line with the curvature of the arch.

1 Panorex shows how three different blade designs suit their locations
2 Posterior blades in maxillae set buccopalatally in tuberosities



Previous Page Page 526 Next Page
Copyright warning: This information is presented here for free for anyone to study online. We own exclusive internet copyrights on all content presented on this website. We use sophisticated technology to identify and legally close down websites that reproduce copyrighted content without permission - so please don’t do it.