Theories and Techniques of Oral Implantology (vol.2) (published 1970)   Dr. Leonard I. Linkow

Previous Page Next Page

This is an archival HTML version of this book originally hosted here in 2006. The HTML may not display well on modern browsers. Please view the modern PDF Version for a better viewing experience.

 

516 Theories and techniques of oral implantology

temporary splint was placed over the posts to protect the site.

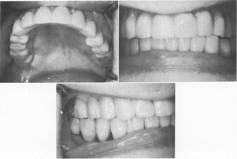
After the site had healed (Fig. 11-174), impressions were taken for the fabrication and completion of an acrylic-over-gold full arch splint. This was permanently seated with hard cement (Fig. 11-175) .

A Panorex shows the continuous blade in place (Fig. 11-176). The patient had been successfully wearing the lower blade prosthesis nearly a year prior to the upper restoration. Since the lower restoration was one of the earlier types that was pre-fabricated prior to the insertion of the blades, acrylic

saddles had to be fabricated. These saddles cannot be viewed on radiographs, and thus on radiographs it appeared as though the margins of the crowns covering the implant posts were inadequate. Upon clinical observation this misconception is clearly revealed.

Case 16

A continuous palatal horseshoe blade for a fixed full arch denture

Although the early type of continuous blade seemed very promising, problems occurred. The main

Fig. 11-174. The healed site.

Fig. 11-173. The tissues were closed. (From Linkow, L. I., and Weiss, J. L.: The endosseous blade: a progress report, Prom. Dent., No. 5, 1969.)

Fig. 11-175. The completed acrylic prosthesis cemented in place.

1 Tissues closed after blades inserted in maxillary arch
2 Healed site in maxilla after insertion of blade implants
3 Completed maxillary acrylic prosthesis cemented in place



Previous Page Page 516 Next Page
Copyright warning: This information is presented here for free for anyone to study online. We own exclusive internet copyrights on all content presented on this website. We use sophisticated technology to identify and legally close down websites that reproduce copyrighted content without permission - so please don’t do it.