Theories and Techniques of Oral Implantology (vol.1) (published 1970)   Dr. Leonard I. Linkow

Previous Page Next Page

This is an archival HTML version of this book originally hosted here in 2006. The HTML may not display well on modern browsers. Please view the modern PDF Version for a better viewing experience.

 

Implant histology 115

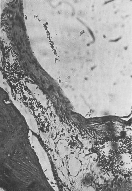
Fig. 4-70. At the base of the implant the connective tissue appears to be highly organized. (Courtesy K. R. Blakey, Howard University.)

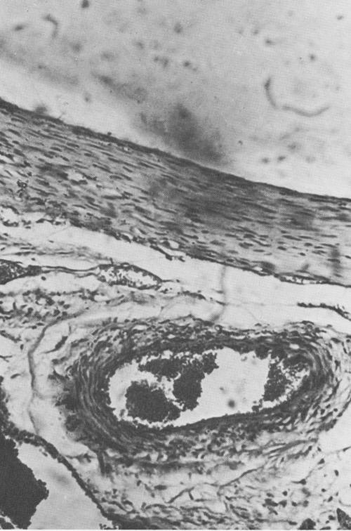
Fig. 4-69. Blood vessel formation appears near the base of the implant. The fatty marrow tissue looks normal. (Courtesy K. R. Blakey, Howard University.)

1 Blood vessel formation appears near the base of endosseous implant
2 Highly organized connective tissue near base of endosseous implant



Previous Page Page 115 Next Page
Copyright warning: This information is presented here for free for anyone to study online. We own exclusive internet copyrights on all content presented on this website. We use sophisticated technology to identify and legally close down websites that reproduce copyrighted content without permission - so please don’t do it.