Theories and Techniques of Oral Implantology (vol.1) (published 1970)   Dr. Leonard I. Linkow

Previous Page Next Page

This is an archival HTML version of this book originally hosted here in 2006. The HTML may not display well on modern browsers. Please view the modern PDF Version for a better viewing experience.

 

114 Theories and techniques of oral implantology

In another case in which an internally threaded vent-plant was used, a specimen for examination was obtained under the following circumstances. The vent-plant was placed in the maxilla just below the nasal septum. Approximately 8 months after its insertion the impl ant broke in two (Fig. 4-64). The shaft portion was removed by screwing it counter-clockwise, leaving the apical ring still in the bone (Fig. 4-65). When the vertical portion was surgically removed, it contained bone (Fig. 4-66).

Blakey on metallic and nonmetallic implants

Katus K. Blakey, 1).1).S., of Howard University, Washington, I). C., experimentally inserted solid shaft threaded implants, vent-plants, and nonmetallic crystalline bone screws into the mandible and maxilla of dogs. The insertion techniques followed

 

 

r i

those of Linkow. Six months after implant insertion, the animals were sacrificed.

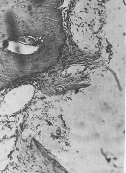
All the metallic implants were separated from the bone by a fibrous tissue membrane (Fig. 4-67). The bone was dense, with numerous osteocytes, and there was no sign of inflammation of either the fibrous tissue membrane or the bone (Fig. 4-68). Near the base of the implant the formation of blood vessels was evident (Fig. 4-69). Also, the fatty mar-row tissue looked normal. In another view of the base of the implant the organization of the connective tissue and blood vessel formation are clear (Fig. 4-70) .

Blakey also examined the tissue found inside the vent of a vent-plant (Fig. 4-71). It was partly fibrous and contained a good amount of healthy bone.

s.

Fig. 4-68. Under higher magnification, osteocytes can be seen in the bone and osteoblastic activity around the periphery. Note the absence of inflammatory activity. (Courtesy K. R. Blakey, Howard University.)

1 Bone tissue around implant with osteocytes and osteoblastic activity



Previous Page Page 114 Next Page
Copyright warning: This information is presented here for free for anyone to study online. We own exclusive internet copyrights on all content presented on this website. We use sophisticated technology to identify and legally close down websites that reproduce copyrighted content without permission - so please don’t do it.