Theories and Techniques of Oral Implantology (vol.1) (published 1970)   Dr. Leonard I. Linkow

Previous Page Next Page

This is an archival HTML version of this book originally hosted here in 2006. The HTML may not display well on modern browsers. Please view the modern PDF Version for a better viewing experience.

 

Implant histology 95

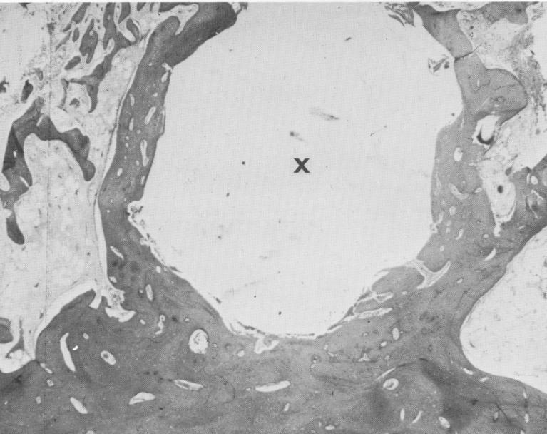
Fig. 4-22. A cross section of the bone block after removal of the spiral-post implant. X, Implant site.

Fig. 4-23. The patient prior to implantation.

Fig. 4-24. The maxillary cuspid is impacted, with little bone between the antral floor and the tooth.

1 Clinical view prior to Chercheve endosseous spiral-post implantation
2 Impacted upper cuspid with little bone between antral floor and tooth
3



Previous Page Page 95 Next Page
Copyright warning: This information is presented here for free for anyone to study online. We own exclusive internet copyrights on all content presented on this website. We use sophisticated technology to identify and legally close down websites that reproduce copyrighted content without permission - so please don’t do it.