Mandibular Implants (published 1977)   Dr. Leonard I. Linkow

Previous Page Next Page




 

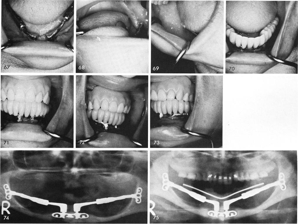
were removed, figs. 67, 68, 69, and the final acrylic prosthesis was processed, figs. 70, 71, 72, 73. The post-operative x-ray without and then with the fixed all acrylic prosthesis, figs. 74, 75.

307

1 X-rays without and with acrylic prosthesis on symphyseal ramus system



Previous Page Page 307 Next Page
Copyright warning: This information is presented here for free for anyone to study online. We own exclusive internet copyrights on all content presented on this website. We use sophisticated technology to identify and legally close down websites that reproduce copyrighted content without permission - so please don’t do it.