Theories and Techniques of Oral Implantology (vol.2) (published 1970)   Dr. Leonard I. Linkow

Previous Page Next Page

This is an archival HTML version of this book originally hosted here in 2006. The HTML may not display well on modern browsers. Please view the modern PDF Version for a better viewing experience.

 

Endodontic implants 605

were set into the bone distal to the cuspids (Fig. 13-58) . Rubber dam* with built-in flexible frame was applied over the cuspids and implant posts during the endodontic stabilizer insertion procedures (Fig. 13-59, A) and a Panorex radiograph was taken (Fig. 13-59, B) . The Panorex film shows that the Kri paste is easily absorbed by the time the fixed full arch prosthesis was completed (Fig. 13-60).

REASONS FOR FAILURE

As with any other type of operation, all kinds of accidents can occur during an endodontic stabilizer implant procedure. No matter how careful or skillful an operator is, occasional incidents occur. Here the

*Webber Rapi Dam, Isaac Mosel Co., Inc., Philadelphia, Pa.

discussion will be limited to the more frequent accidents occurring during the implant part of the operation.

One of the most frequent accidents before the development of the Kri paste barrier technique was filling the borehole with cement. If more than just traces of cement went into the borehole, the cement had to be removed by a curetting operation (Fig. 13-61).

Overshooting the target depth and perforating the bone can easily happen; it can be avoided only by careful occlusal radiography during drilling and implanting the pin (Fig. 13-62). If the implant has been set too deeply, it should be withdrawn to its proper depth. The patient will be unaware of the accident and the bone wound will heal within a very

A

B

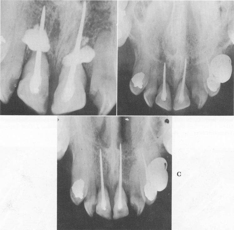
Fig. 13-61. A, A great amount of excess cement was pushed apically beyond the bore holes. In order to prevent irritation and severe inflammation, the cement had to be removed immediately by incising the mucoperiosteal tissue, reflecting it, and curetting it. B, Eighteen months later. C, Five and a half years later. (From Orlay, H. G.: Endodontic implants, J. Oral Implant Transplant Surg., pp. 44-53, 1965.)

1 Excess amount of cement pushed apically beyond bore holes in maxilla



Previous Page Page 605 Next Page
Copyright warning: This information is presented here for free for anyone to study online. We own exclusive internet copyrights on all content presented on this website. We use sophisticated technology to identify and legally close down websites that reproduce copyrighted content without permission - so please don’t do it.