Theories and Techniques of Oral Implantology (vol.1) (published 1970)   Dr. Leonard I. Linkow

Previous Page Next Page

This is an archival HTML version of this book originally hosted here in 2006. The HTML may not display well on modern browsers. Please view the modern PDF Version for a better viewing experience.

 

Implant histology 119

Fig. 4-77. A distinct line of osteoblasts (arrow) appears in this higher magnification of the bridge. (Courtesy M. Hodosh.)

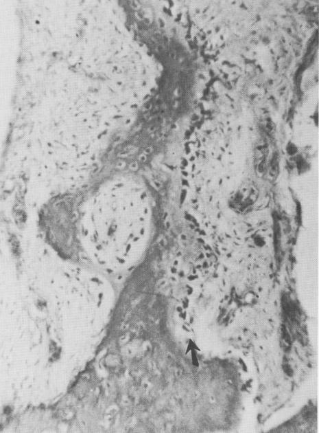
Fig. 4-78. When the hole was placed near the alveolar crest, the osseous bridge underwent an inflammatory breakdown (arrow). (Courtesy M. Hodosh.)

1 Osteoblasts in line of endosseous crystalline implant bridge
2 Inflammation of bone tissue when crystalline implant at alveolar crest



Previous Page Page 119 Next Page
Copyright warning: This information is presented here for free for anyone to study online. We own exclusive internet copyrights on all content presented on this website. We use sophisticated technology to identify and legally close down websites that reproduce copyrighted content without permission - so please don’t do it.