Mandibular Implants (published 1977)   Dr. Leonard I. Linkow

Previous Page Next Page




 

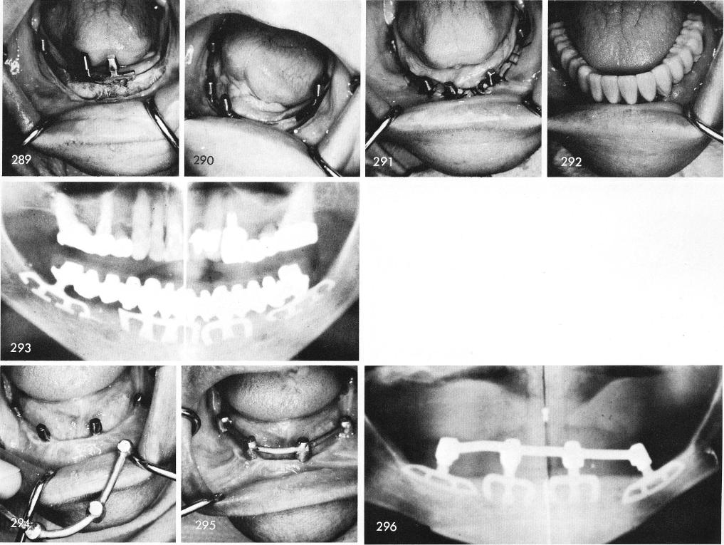
285 and 286 reveal the extremely thin ridge. A clean and steady groove is first made posteriorly, fig. 287, and carefully the blade is gently tapped into proper position, fig. 288. The ridge is widened anteriorly so that blades can also be successfully inserted there, figs. 289, 290. The remaining blades are inserted and the tissues are sutured, fig. 291, and the prosthesis cemented into position, fig. 292. A nine year post-operative x-ray reveals this successfully functioning case, fig. 293.

In those situations where the patient cannot afford a full arch fixed restoration then a Dolder bar-coping support should always be constructed and cemented over the blade posts, figs. 294, 295, which in turn will serve as a support for the removable denture. The post-operative x-ray fig. 296.

243

1 Widening mandibular ridge anteriorly for inserting blade implants



Previous Page Page 243 Next Page
Copyright warning: This information is presented here for free for anyone to study online. We own exclusive internet copyrights on all content presented on this website. We use sophisticated technology to identify and legally close down websites that reproduce copyrighted content without permission - so please don’t do it.