Mandibular Implants (published 1977)   Dr. Leonard I. Linkow

Previous Page Next Page




 

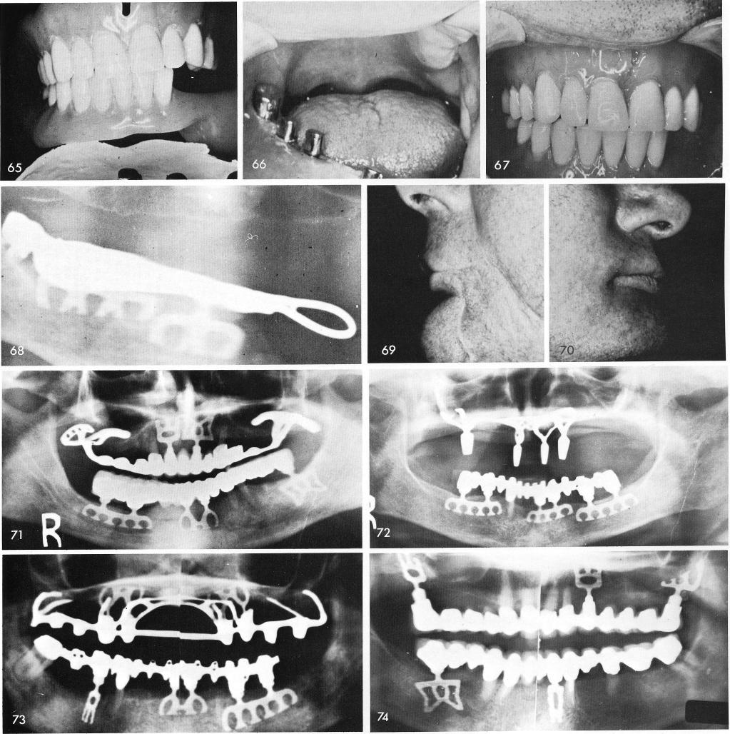
which included a gold coping mesostructure with special built-in attachments for a removable prosthesis with passive type swing-lock attachments, figs. 63, 64. The missing left side of the mandible was filled up with a bulbous type extension off of the left side of the removable pros-thesis, fig. 65. The gold copings were cemented over the implant posts and over the telescopic coping covering the molar tooth, fig. 66, and the prosthesis placed over them, fig. 67. Fig. 68 shows a post-operative x-ray.

The left side of the face with restoration, fig. 69. The right side, fig. 70.

Figs. 71 through 81 show other atypical cases.

211

1  Gold coping cementation and telescopic coping over mandibular tooth



Previous Page Page 211 Next Page
Copyright warning: This information is presented here for free for anyone to study online. We own exclusive internet copyrights on all content presented on this website. We use sophisticated technology to identify and legally close down websites that reproduce copyrighted content without permission - so please don’t do it.