Maxillary Implants (published 1977)   Dr. Leonard I. Linkow

Previous Page Next Page




 

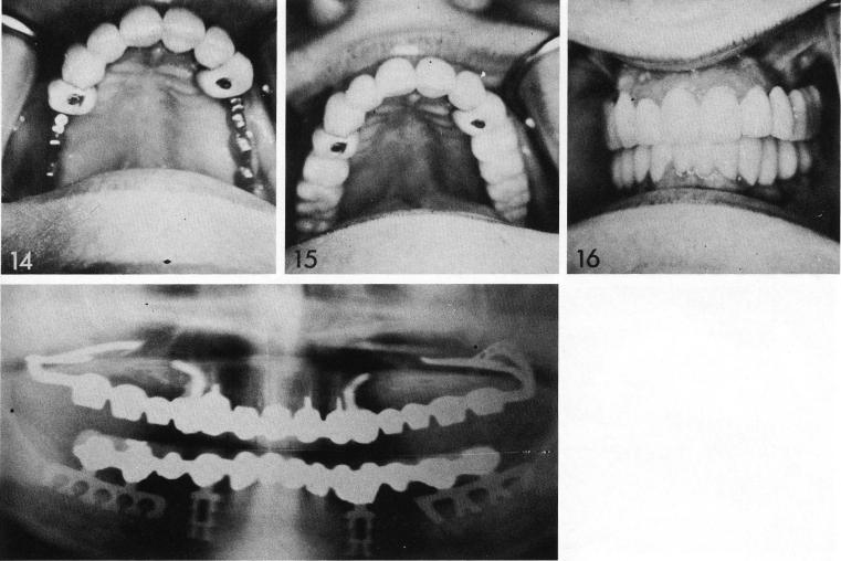
Bilateral pterygoid extension implants were used here. The patient's natural anterior teeth were prepared with internally threaded attachments cantilevered over the edentulous spaces (2) and fitted with Duralay copings (3). The posterior spans were exposed (4), and fitted with prototypes (5,6) picked up in the bilateral impressions (7). The sites were then closed (8). The implants are of the old design (9,10) with a palatal finger (10, arrow) ex-tending from the crown over the internally threaded attachment and the bar arising from the hamular notch. The implants were inserted (11), being screwed into their anterior anchorage (12). The resulting anchorage crowns are bulky (14,15), and for this reason such attachments have been largely abandoned. Also, the tissue usually receded because the anterior palatal strut was a direct extension off the gingival margin of the crown from which it extended—an excellent reason for abandoning the palatal finger.

229

1 Bulky anchorage maxillary crowns for implants



Previous Page Page 229 Next Page
Copyright warning: This information is presented here for free for anyone to study online. We own exclusive internet copyrights on all content presented on this website. We use sophisticated technology to identify and legally close down websites that reproduce copyrighted content without permission - so please don’t do it.