Maxillary Implants (published 1977)   Dr. Leonard I. Linkow

Previous Page Next Page




 

Endosteal blades

intra-tooth blades anterior and posterior

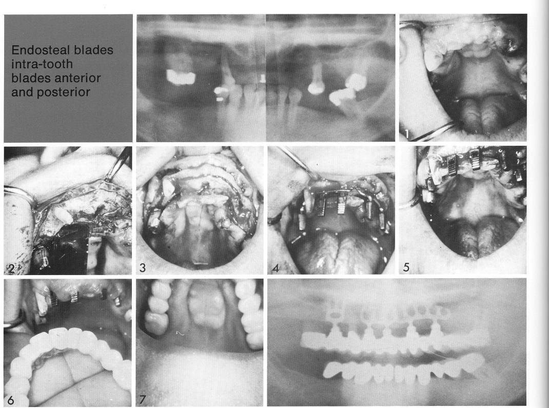
The prominent torus illustrates one of the most therapeutically satisfying solutions permitted by the use of implants. The partially edentulous patient (1) had an unusually wide ridge (2), but a narrow arch. As many anterior abutments as possible were desirable. The extreme width of the ridge permitted crossing the midline (3) with a bladevent socket without threatening the anterior palatine foramen. The bladevents were inserted (4,5), and shortly thereafter the final restoration. The advantage of a palateless restoration is clearly obvious (6).

200

1 Partially edentulous patient with unusually wide maxillary ridge



Previous Page Page 200 Next Page
Copyright warning: This information is presented here for free for anyone to study online. We own exclusive internet copyrights on all content presented on this website. We use sophisticated technology to identify and legally close down websites that reproduce copyrighted content without permission - so please don’t do it.