Theories and Techniques of Oral Implantology (vol.1) (published 1970)   Dr. Leonard I. Linkow

Previous Page Next Page

This is an archival HTML version of this book originally hosted here in 2006. The HTML may not display well on modern browsers. Please view the modern PDF Version for a better viewing experience.

 

The evolution of dental implants 163

1

into the block. The obvious disadvantage of this procedure is its difficulty of execution and its limited use. It would be impossible to use such an implant in any area other than the anterior jaws.

Bifid implants

Bordon and R. Azoulay evolved a method of inserting complementary implants in different sites. Together these implants work against being pulled out. Each implant consists of two vertical legs ex-tending from a horizontal bar (Fig. 5-56). This bar is seated in a groove made in the bone. Thus the implant is a combination endosseous-subperiosteal de-sign.

To seat an individual implant, a hole is drilled for each leg, guided by a special template, and then the bone is grooved horizontally to receive the bar. Because the legs are quite narrow and delicate, great care must be taken in their insertion. However, the narrowness of the legs is an advantage because only a small amount of bone must be removed to seat the implant. Both implants are connected by a bar, and the prosthesis is fashioned over the bar.

Although the idea seems practical in the hands of a skilled practitioner, the bifid implants have several disadvantages. The legs are so narrow that mesiodistal movement of the implant is difficult, although buccolingual or labiolingual movement is possible. To help ensure against this, another type of implant may be added (Fig. 5-57). However, this is a patchwork approach. It would have been easier to use other types of implants in the first place. Also, the bar joining the two legs provides a large impact area.

Transfixation screws

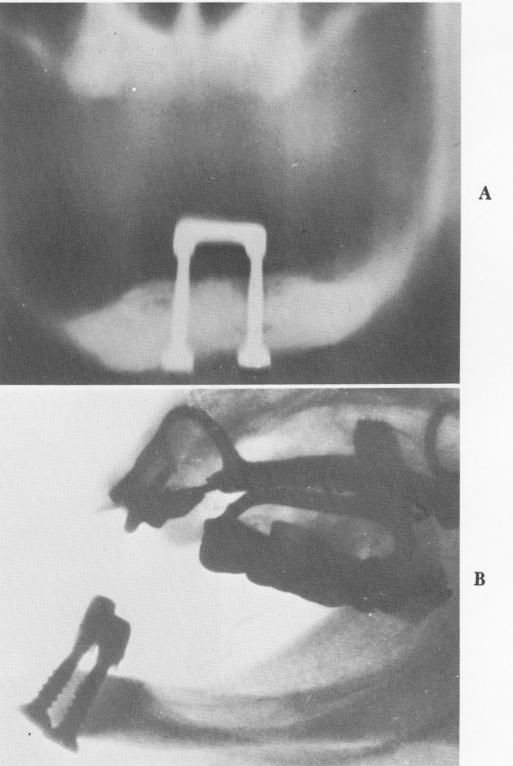
In France, Michel Chercheve, Raphael Chercheve, and Marcel Palfer-Sollier attempted a more radical approach to affixing a prosthesis. The technique was designed for the anterior region of the mandible. Long screws were inserted at the base of the mandible and passed up through it to emerge at the alveolar crest, where a conjunction bar spanned and united the screws (Fig. 5-58). The prosthesis was fashioned on the bar.

We disagree on the necessity, not to mention the usefulness, of this technique. Linkow claims that since successful alternatives exist, there is no need to subject the patient to such a radical procedure. Chercheve claims that when three screws are used instead of two, the results are good enough to warrant the operation (Fig. 5-59). Chercheve also states that a

4-year follow-up of patients at the Lariboisiere Hospital in Paris proves that the method is quite successful. He recommends that this endosseous approach be used in place of subperiosteal implants when very little bone remains in the anterior region of the mandible.

An American working along similar lines is Robert W. Christensen. Christensen's implants differ from the French models mainly in the design of the screw head. Because the inferior margin of the

Fig. 5-58. A, In the vertical transfixation technique, screws are inserted through the lower border of the mandible up through the alveolar crest, where they are joined by a bar. In this case bone has clearly resorbed away from the bar. B, A good reason for avoiding this technique unless most of the alveolar bone has resorbed down to dense cortical bone is quite evident here. A great deal of resorption has occurred at the alveolar crest, and the heads of the screws have been driven out of the base of the mandible into the soft tissue.

1 Vertical transfixation implant screws from mandible to alveolar crest



Previous Page Page 163 Next Page
Copyright warning: This information is presented here for free for anyone to study online. We own exclusive internet copyrights on all content presented on this website. We use sophisticated technology to identify and legally close down websites that reproduce copyrighted content without permission - so please don’t do it.