Mandibular Implants (published 1977)   Dr. Leonard I. Linkow

Previous Page Next Page




 

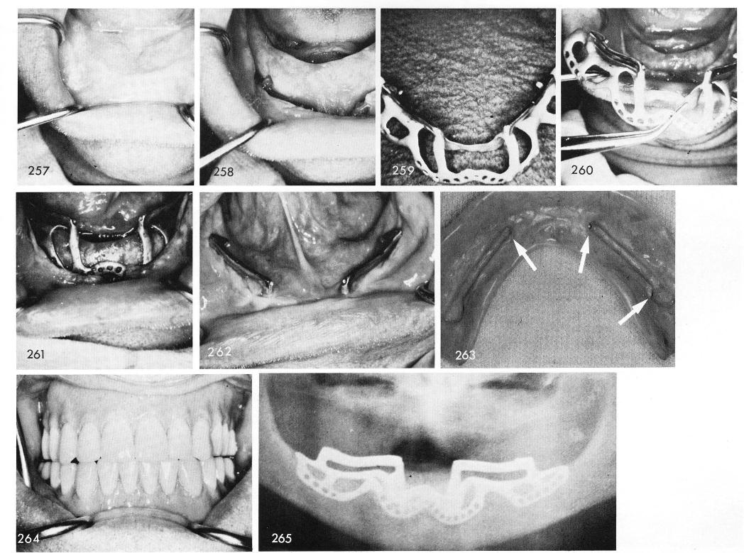
In this edentulous patient, fig. 257, some of the later designs were used. The bone was ex-posed, fig. 258, and the subperiosteal implant, with two horizontal bars instead of four posts was included in its design, figs. 259, 260, 261. Healing was excellent, and notice the tiny depressions in the anterior portion at the beginning of the horizontal bars and posteriorly and lingual to the bars, fig. 262. These act as a base for the spring-type ball bearings seen on the inside of this denture, called inter-coronal attachments, fig. 263, which gives excellent retention of the denture, fig. 264. Fig. 265 shows the new designed implant.

275

1 Mandibular prosthesis depression anterior,posterior,lingual to bar



Previous Page Page 275 Next Page
Copyright warning: This information is presented here for free for anyone to study online. We own exclusive internet copyrights on all content presented on this website. We use sophisticated technology to identify and legally close down websites that reproduce copyrighted content without permission - so please don’t do it.