Mandibular Implants (published 1977)   Dr. Leonard I. Linkow

Previous Page Next Page




 

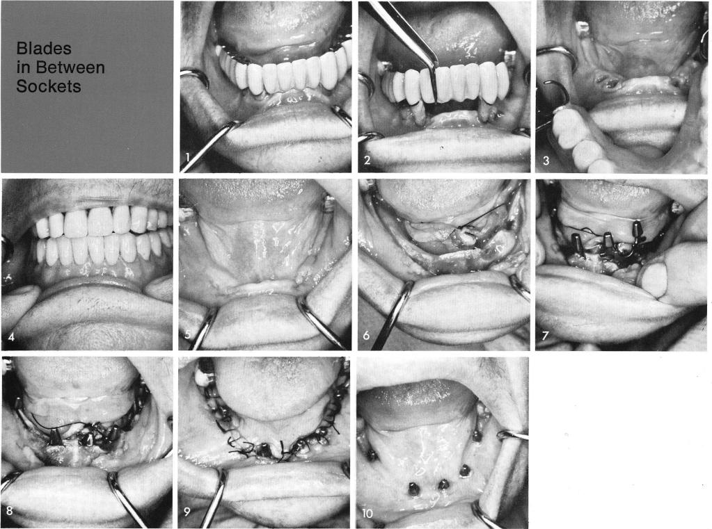
In this particular case the loose teeth were able to be removed from their sockets by merely pulling out the original prosthesis, figs. 1, 2. An immediate removable partial denture was constructed until three months passed by for complete bony fill in of the sockets, figs. 3, 4. After three months went by, fig. 5, the tissues were incised and reflected, fig. 6, and blades were inserted in between the remaining sockets and directly into some of the sockets as seen by the socket blade in the left cuspid area, figs. 7, 8. The tissues were sutured closed, fig. 9. Two weeks later the tissues were completely healed, fig. 10. A specially designed full arch fixed prosthesis was processed. Being that so much vertical bone loss took place a false gum line had to be included in the design, fig. 11. This gum line, however, ended exactly where a natural crown would usually end at the gingival margins of the blade posts. The bridge was then cemented permanently into position, figs. 12, 13, 14, 15. A post-operative x-ray of this case, fig. 16.

200

1 Immediate removable partial denture placed in mandible



Previous Page Page 200 Next Page
Copyright warning: This information is presented here for free for anyone to study online. We own exclusive internet copyrights on all content presented on this website. We use sophisticated technology to identify and legally close down websites that reproduce copyrighted content without permission - so please don’t do it.